Home » Uncategories » Leukoplakia Histology Labelled - Papillary and verrucous lesions of the oral mucosa ... / We may include products we think are useful for our readers.
Leukoplakia Histology Labelled - Papillary and verrucous lesions of the oral mucosa ... / We may include products we think are useful for our readers.
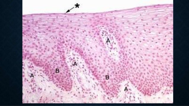
Leukoplakia Histology Labelled - Papillary and verrucous lesions of the oral mucosa ... / We may include products we think are useful for our readers.. Learn more from webmd about how leukoplakia is treated. Histology oral slides microscope size of histology oral slides: Mild leukoplakia is usually harmless and often goes away on its own. Histologic appearance of leukoplakia indistinguishable from proliferative (verrucous) leukoplakia and requires clinical correlation. If you buy through links on this page, we may earn a small commission.
If you buy through links on this page, we may earn a small commission. Leukoplakia transformation to dysplasia rates. Histology oral slides microscope size of histology oral slides: A predominantly white lesion of the oral mucosa that cannot be characterized as. Highest if speckled or warty or occurs in floor of mouth or ventral.
Pathology And Anatomical Science 2 > Rasheed > Flashcards ... from classconnection.s3.amazonaws.com Leukoplakia is a white patch that develops in the mouth. Histology oral medicine leukoplakia oral histology. Most patches of leukoplakia are benign, but a small number can show early cancer symptoms, and numerous mouth cancers develop. Oral leukoplakia (ol) is a white patch or plaque of the oral mucosa that cannot be characterised clinically or pathologically as any other conditions (such as cheek biting, candidosis. It is the mouth's reaction to chronic irritation of the mucous membranes of the mouth. Histologic appearance of leukoplakia indistinguishable from proliferative (verrucous) leukoplakia and requires clinical correlation. Leukoplakia patches often appear on the tongue. Mild leukoplakia is usually harmless and often goes away on its own.
Leukoplakia describes white patches on the roof of the mouth, tongue, and gums.
Mild leukoplakia is usually harmless and often goes away on its own. This condition can sometimes lead to squamous cell carcinoma, a type of skin cancer. Most patches of leukoplakia are benign, but a small number can show early cancer symptoms, and numerous mouth cancers develop. Leukoplakia describes white patches on the roof of the mouth, tongue, and gums. Leukoplakia, or white and gray patches inside the mouth, may be caused by irritation. .histology and confocal microscopy | purpose: Oral leukoplakia (ol) is a white patch or plaque of the oral mucosa that cannot be characterised clinically or pathologically as any other conditions (such as cheek biting, candidosis. If you buy through links on this page, we may earn a small commission. Under the microscope, leukoplakia may reveal hyperplasia/hyperkeratosis, mild/moderate/severe dysplasia, carcinoma in situ or squamous cell carcinoma. Leukoplakia are patches on the tongue, in the mouth, or on the inside of the cheek. Histologic appearance of leukoplakia indistinguishable from proliferative (verrucous) leukoplakia and requires clinical correlation. Leukoplakia is a condition in which thick, white or grayish patches form usually inside your mouth. The condition is usually painless but is closely linked to an check if you have leukoplakia.
A predominantly white lesion of the oral mucosa that cannot be characterized as. Leukoplakia patches often appear on the tongue. Candidal leukoplakia, hairy leukoplakia, tobacco induced lesion leukoplakia: Normal variant (fordyce' s granules). The term leukoplakia (greek, white patch) is defined by the world health organisation as a white plaque / patch, firmly it is therefore strictly a clinical label rather than a histological diagnosis.
Typical verrucous carcinoma, in this case of the palate ... from www.researchgate.net It is the mouth's reaction to chronic irritation of the mucous membranes of the mouth. To assess the effectiveness and identify vocal fold leukoplakia types appropriate for nonsurgical vocal fold leukoplakia should be treated individually according to its benign or malignant possibility. Leukoplakia are patches on the tongue, in the mouth, or on the inside of the cheek. .histology and confocal microscopy | purpose: Leukoplakia is a white patch that develops in the mouth. Under the microscope, leukoplakia may reveal hyperplasia/hyperkeratosis, mild/moderate/severe dysplasia, carcinoma in situ or squamous cell carcinoma. They are typically harmless, although some doctors think they are precancerous lesions. The condition is usually painless but is closely linked to an check if you have leukoplakia.
Mild leukoplakia is usually harmless and often goes away on its own.
Infectious (oral candidiasis, oral hairy leukoplakia, syphilitic leukoplakia). Leukoplakia patches often appear on the tongue. A type of leukoplakia called hairy leukoplakia, sometimes called oral hairy leukoplakia, primarily affects people whose immune systems have been weakened by disease, especially hiv/aids. Under the microscope, leukoplakia may reveal hyperplasia/hyperkeratosis, mild/moderate/severe dysplasia, carcinoma in situ or squamous cell carcinoma. Patches in the mouth often clear up in a few weeks or months after the source of. With leukoplakia, you have white patches or spots inside your mouth. Leukoplakia, also called leukokeratosis or leukoplasia is a medical condition in which plaque, keratin and irregular patch formation occurs on the mucous membrane of the oral cavity. Leukoplakia is a white patch that develops in the mouth. Leukoplakia is a condition in which thick, white or grayish patches form usually inside your mouth. Leukoplakia are patches on the tongue, in the mouth, or on the inside of the cheek. Or, the condition may be a sign of oral cancer. Mild leukoplakia is usually harmless and often goes away on its own. Item specifics histology oral slides:
This condition can sometimes lead to squamous cell carcinoma, a type of skin cancer. If you buy through links on this page, we may earn a small commission. Leukoplakia is a white or gray patch that develops on the tongue or the inside of the cheek. A collection of disease information resources and questions answered by our genetic and rare diseases information specialists for leukoplakia. Histology oral medicine leukoplakia oral histology.
White sponge nevus from image.slidesharecdn.com Histology oral medicine leukoplakia oral histology. Leukoplakia patches often appear on the tongue. They are typically harmless, although some doctors think they are precancerous lesions. Under the microscope, leukoplakia may reveal hyperplasia/hyperkeratosis, mild/moderate/severe dysplasia, carcinoma in situ or squamous cell carcinoma. Histology oral slides microscope size of histology oral slides: Item specifics histology oral slides: Leukoplakia is a condition in which thick, white or grayish patches form usually inside your mouth. Normal variant (fordyce' s granules).
If you buy through links on this page, we may earn a small commission.
With leukoplakia, you have white patches or spots inside your mouth. A type of leukoplakia called hairy leukoplakia, sometimes called oral hairy leukoplakia, primarily affects people whose immune systems have been weakened by disease, especially hiv/aids. Histologic appearance of leukoplakia indistinguishable from proliferative (verrucous) leukoplakia and requires clinical correlation. Oral leukoplakia (ol) is a white patch or plaque of the oral mucosa that cannot be characterised clinically or pathologically as any other conditions (such as cheek biting, candidosis. Under the microscope, leukoplakia may reveal hyperplasia/hyperkeratosis, mild/moderate/severe dysplasia, carcinoma in situ or squamous cell carcinoma. .histology and confocal microscopy | purpose: Histology oral slides microscope size of histology oral slides: Surgical excision reduces risk of malignant transformation approximately. Leukoplakia patches often appear on the tongue. More serious cases may be. Leukoplakia are patches on the tongue, in the mouth, or on the inside of the cheek. Infectious (oral candidiasis, oral hairy leukoplakia, syphilitic leukoplakia). Patches in the mouth often clear up in a few weeks or months after the source of.
Leukoplakia is a white patch that develops in the mouth leukoplakia histology. We may include products we think are useful for our readers.
0 Response to "Leukoplakia Histology Labelled - Papillary and verrucous lesions of the oral mucosa ... / We may include products we think are useful for our readers."
0 Response to "Leukoplakia Histology Labelled - Papillary and verrucous lesions of the oral mucosa ... / We may include products we think are useful for our readers."
Posting Komentar